Je winkelmandje
- Geen producten in de winkelwagen.
Totaal
€ 0,00
Best-sellers
€ 34,95
€ 34,95
€ 34,95
€ 34,95
€ 49,95
🩺 Een 14-jarige jongen presenteert zich bij de huisarts in verband met langdurige dyspnoe en hoest. Er wordt ter oriëntatie een ECG vervaardigd, die uitgebreid afwijkend blijkt te zijn (zie hieronder; welke afwijkingen zijn er zichtbaar?).

📖 Zie ook het artikel Hoe Interpreteer Je Een ECG?
Bespreking: we zien een regelmatig ritme van circa 60/minuut. Elk QRS-complex wordt voorafgegaan door een P-top. De morfologie van die P-top is atypisch. Zo zie je in V1 dat de P-top er niet uitziet zoals je zou verwachten bij een sinusritme. Bij een normaal sinusritme is het eerste deel van de P-top in V1 positief en is het tweede deel negatief. Hier zien we een geheel positieve P-top in V1, met een afwijkend ‘hakkeltje’ (bifide P-top). De geleidingstijden (PQ, QRS, QT) zijn normaal – hoogstens is er een geringe aspecifieke ventriculaire geleidingsvertraging. De hartas is afwijkend. Deze wijst naar rechts (negatief in afleidingen I en II, maar positief in aVF). Het QRS-complex is in afleiding II (60 graden) iso-electrisch, dus de exacte hartas is 150 graden. De R-topprogressie is sterk afwijkend en traag (R wordt nergens dominant over de S). Er zijn geen ST-segmentdeviaties. Wel is de T-topmorfologie afwijkend; bijvoorbeeld is er een negatieve T in aVL. Overigens is in die afleiding dus ook het QRS-complex overwegend negatief, dus – zeker gezien de klinische context – berust dit vermoedelijk niet op een repolarisatiestoornis.
Conclusie: supraventriculair ritme van 60/minuut, met licht afwijkende morfologie van de P-toppen en met een duidelijke rechterasdraai.
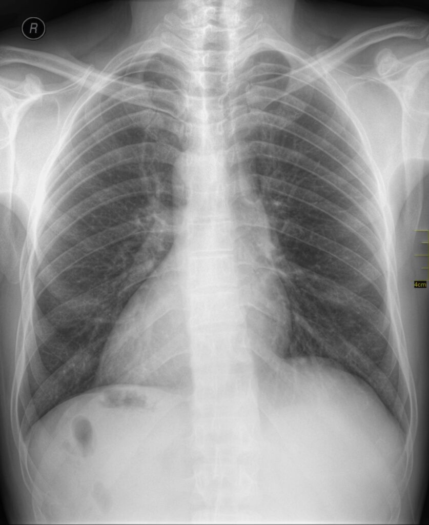
Na overleg met een cardioloog, wordt er besloten een thoraxfoto te vervaardigen. Ook dit zie je hieronder. Welke afwijking zie je daarop? Hoe hangt dit samen met het ECG?
⚠️ Het komt wel eens voor dat afleidingen worden misplaatst. Verifieer dus altijd goede plaatsing, voordat je bijzondere conclusies trekt.

📖 Zie ook het artikel Hoe Interpreteer Je Een Thoraxfoto?
Bespreking: we zien een staande X-thorax, vermoedelijk PA (posteroanterior) ingeschoten. Het mediastinum superius is slank. De hili zijn normaal. De hartcontour is afwijkend. Het hart bevindt zich in geheel abnormaal veel naar rechts in het mediastinum. Ook wijst de apex naar rechts, in plaats van naar links. Verder is de longvaattekening normaal, zien we geen pleurale effusie, geen verdichtingen in het longparenchym en geen afwijkingen aan het skelet. Als we naar de bovenbuik kijken, valt het ons op dat we luchtconfiguraties zien rechts subdiafragmaal (ter hoogte van waar we de lever zouden verwachten). Links subdiafragmaal zien we géén maagbubbel, maar juist dens weefsel (is dat de lever die aan de verkeerde kant zit)?.
Conclusie: dextrocardie (rechtszijdig hart), vermoedelijk met een situs inversus totalis
⚠️ Het komt wel eens voor dat een foto per abuis wordt gespiegeld bij de digitale verwerking! Verifieer dit dus altijd, voordat je bijzondere conclusies trekt.
Welk syndroom past goed bij alle bovenstaande bevindingen?
Normaliter bevindt het hart zich links; je spreekt dan van een levocardie. Bevindt het hart zich rechts, dan spreek je van een dextrocardie.
Een dextrocardie kan geïsoleerd zijn, of gepaard gaan met een omwisseling in zijdigheid van alle organen (bijv. de lever links in plaats van rechts). In dat laatste geval spreek je van een dextrocardie met situs inversus. Daarvan is in deze casus sprake.
Situs inversus totalis is geassocieerd met het syndroom van ‘Kartagener’, een vorm van ‘primaire ciliaire dyskinesie’. De naam klinkt ingewikkeld, maar zegt veel over de aandoening. Het kenmerkt zich door een probleem van de trilharen (cilia) op slijmvliezen van longen, neus en oren, die minder goed bewegen (dyskinesie). De oorzaak is een genetische mutatie. Door de ciliaire dyskinesie kunnen mucus en pathogenen minder goed geklaard worden, zodat recidiverende luchtweginfecties kunnen optreden.
❓ Vraag: in welk geval is de associatie met (ernstige) andere congenitale hartafwijkingen groter?
A. Dextrocardie met situs inversus
B. Geïsoleerde dextrocardie
💡 Antwoord: geïsoleerde dextrocardie, waarbij alleen het hart naar rechts is verplaatst terwijl de andere organen hun normale positie behouden, gaat vaker gepaard met complexe hartafwijkingen. Dit komt doordat geïsoleerde dextrocardie vaak het gevolg is van een verstoring in de vroege embryonale ontwikkeling die specifiek het hart treft. Daarentegen is dextrocardie met situs inversus, waarbij alle organen in spiegelbeeld liggen, meestal het resultaat van een algemene omkering van de links-rechts as tijdens de embryonale ontwikkeling. Deze conditie gaat minder vaak gepaard met ernstige hartafwijkingen, omdat het hart weliswaar aan de rechterkant zit, maar verder normaal ontwikkeld is.