Je winkelmandje
- Geen producten in de winkelwagen.
Totaal
€ 0,00
Best-sellers
€ 34,95
€ 34,95
€ 34,95
€ 34,95
€ 49,95
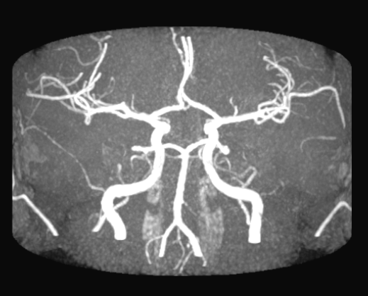
De cirkel van Willis is een vaatstructuur die een enorm belangrijke rol speelt in het waarborgen van de arteriële perfusie naar het gehele brein. Deze structuur ligt aan de basis van het brein, anterieur van de hersenstam. De ‘cirkel’ verwijst naar de anastomoses (verbindingen) die binnen de cirkel worden gemaakt; daar komen we zo op. Voor nu is het goed om erbij stil te staan dat we de meest gangbare anatomie bespreken. Er bestaat variatie tussen mensen in hoe compleet de cirkel van Willis is. Deze anatomische variatie is een belangrijke determinant van de gevolgen van een occlusie in één van de vaten. Middels een CT-scan met arterieel contrast, of met een MR-A of met katheterangiografie kan de anatomie van de cirkel van Willis worden beoordeeld (zie bijv. de CT-scanreconstructie hiernaast).

Laten we stapsgewijs de cirkel van Willis doorlopen, waarbij we het detailniveau geleidelijk opbouwen. In het plaatje hieronder kijken we tegen de voorzijde van de cirkel van Willis aan. De cirkel staat niet echt ‘rechtop’, maar leunt als het ware voorover met zijn buik tegen de schedelbasis en met zijn rug tegen de hersenstam en hersenen.
De cirkel ontvangt bloed uit twee grote bronnen: de anterieure circulatie en de posterieure (of vertebrobasilaire) circulatie. De anterieure circulatie wordt gevormd door de arteria carotis interna (1). De posterieure circulatie wordt gevormd door de arteria basilaris (2). Die a. basilaris wordt op zijn beurt gevormd door de arteriae vertebrales rechts & links (3), die op hun beurt weer afkomstig zijn uit hun respectievelijke arteria subclavia (niet afgebeeld).
De relevantie van de cirkel van Willis is dat bij tekortschietende perfusie uit een of meerdere van bovengenoemde vaten (bijv. door een atherosclerotische plaque, dissectie of trombus), zuurstofrijk bloed toch zijn weg kan vinden naar het gehele brein. De anastomosen die hieraan bijdragen zijn de arteria communicans posterior (4) en de a. communicans anterior (5).
Uit de cirkel van Willis monden drie belangrijke gepaarde cerebrale arteriën: de a. cerebri media (6), de a. cerebri anterior (7) en de a. cerebri posterior (8). Experts delen die vaten nog specifieker in. Zo noem je het stuk a. cerebri anterior dat proximaal van de a. communicans anterior zit het A1-segment en het distale (stroomafwaartse) stuk het A2-segment. Evenzo noem je het stuk a. cerebri posterior dat proximaal zit van de a. communicans posterior het P1-segment en distaal het P2-segment. Deze indeling is relevant om de hemodynamische consequenties van occlusies te begrijpen en voor de planning en uitvoer van interventies.
Laten we onze aandacht nu verder vestigen op de aftakkingen uit a. basilaris (2) en vertebralis (3). Naast hun bijdrage aan de cirkel van Willis, zorgen ze voor de perfusie van de hersenstam en het cerebellum (aka ‘kleine hersenen’). Drie belangrijke aftakkingen zijn de arteria cerebelli superior, vaak afgekort als SCA (9), de arteria cerebelli anterior inferior, vaak afgekort als AICA (10) en de arteria cerebelli posterior inferior, vaak afgekort als PICA (11). Dan hebben we nog de multipele kleine bloedvaten naar de pons (12). Ten slotte mondt uit de arteriae vertebralis een vat dat terug naar caudaal reist richting de voorzijde van het myelum (ruggenmerg), namelijk de a. spinalis anterior (13).

Zoals gezegd bestaat er veel anatomische variatie in de cirkel van Willis. Hele stukken kunnen zeer graciel (‘hypoplasie’) of zelfs afwezig (‘aplasie’) zijn. Het vaakst is er hypo- of aplasie van de a. communicans posterior (ca. 34 tot 68% van de mensen), hypo- of aplasie van het A1-segment (4 tot 10%) of afwezigheid van een volledige a. communicans anterior (12-21%).
Laten we eens kijken wat er gebeurt als er een perfusiestoornis optreedt in verschillende bloedvaten, aangenomen dat de cirkel van Willis niet (voldoende) anastomosefunctie heeft of kan hebben. Je ziet hieronder meerdere transversale (axiale) plaatjes door het brein, waar het ischemische gebied wit is getekend. Als je bekend met met MRI’s, dan zul je deze plaatjes herkennen als diffusiegewogen axiale MRI-coupes die acute ischemie tonen (signaalrijk).
Kijk eens naar de a. carotis interna: als die volledig geoccludeerd is, dan kan dit leiden tot ischemie van de gehele ipsilaterale cerebrale hemisfeer.
Kijk vervolgens naar de a. cerebri media. We hebben daar ischemie getekend zowel in zijn proximale beloop (M1-segment) als distaler (M2-segment). Je ziet dat hoe proximaler een occlusie zit, hoe uitgebreider het gebied van ischemie in het mediastroomgebied is. Het mediastroomgebied is verreweg het vaakst aangetast bij ischemische CVA’s.

Anatomische kennis is cruciaal om je patiënt te begrijpen, alsook voor het interpreteren van beeldvorming en het verrichten van procedures.
Om jou te voorzien van een high-yield leerbron voor klinisch-anatomische kennis, hebben we Het Anatomieboekje geschreven.
Het Anatomieboekje is een oefenboekje met heel veel plaatjes, vragen en uitleg over de meest relevante klinische anatomie. In het boekje behandelen we de domeinen hoofd-hals, thorax, abdomen en bewegingsapparaat. Elk plaatje is voorzien van annotaties met cijfers. In het bijschrift vind je de naam van elke structuur. Aan het einde van het boekje vind je nog meerdere overzichtsillustraties, van de botten (voor- en achteraanzicht), spieren (voor- en achteraanzicht), arteriën en venen. Klik op het plaatje hieronder om direct jouw exemplaar te bestellen!
